答:有时恒牙牙胚位置并没有在乳牙的正下方,所以不会造成乳牙松落,反而长在乳牙的内或外侧,结果出现了两排牙齿的情况。
父母不要期待牙齿会自动脱落,一定要请牙医把乳牙拔除。因牙根蛮长的,所以需要打麻醉针。
当乳牙拔出后,恒牙多数会长回正确的位置去。
问:怎么办,新长的门牙之间怎么会有如此大的缝隙。
答:父母常会担心孩子的门牙为何会这么开,其实这是非常正常的事。当门牙萌发时,它会有向外开展的现象,等到邻牙和虎牙长出的时候,再慢慢把它往中间挤,慢慢地把门牙中间的缝隙弄密。
但如果虎牙长出来后还有牙缝的话,那么就请牙医检查是否门牙之间有多生牙,又或是唇系带过长。那么就需要把它拔除或切短。
问: 乳牙掉了,可是恒牙却迟迟长不出来,怎么办?
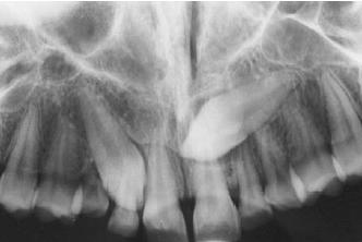
答:若真的等待了数个月后还是不见恒牙,那么家长们就要带孩子到诊所去让牙医做个详细的检查。一般来说,牙医都会利用X光片做检查。
有几个可能因素:
·先天性缺牙发现底下没有恒牙的牙胚,缺牙的部位不会再长出新的牙齿了。
·恒牙上面覆盖的牙龈组织太厚/太硬了有恒牙的牙胚,造成新牙无法冲破而萌发出来,通常都会建议进行外科手术的方法切开表面的牙龈组织,促使新牙尽早长出。
·多生牙就是两颗门牙的中间有多生牙挡着,使到正常的恒牙无法萌出。这样的情形多数需要先把这颗多生牙拔除,新牙才能长出。
·若乳牙太早因意外而掉落,恒牙牙胚发育还没完全,邻牙会倾倒向缺牙的空间 ,造成空间不足,所以会造成恒牙延迟或无法萌发出来。
问: 恒牙长不齐怎么办?
答 :换牙时前恒牙从乳牙的下方或内侧萌出,萌出的恒牙即为成人牙齿的大小,出现轻度拥挤、扭转是正常的,可随邻牙的萌出和颌骨的生长发育而自行调整排齐,一般不必矫治,但要定期观察,最长不应超过半年。如在乳牙完全替换后仍排列不齐,应及时就诊,以免因延误治疗,造成矫正困难。



